What Is A Posterior Composite Filling
The Best What Is A Posterior Composite Filling Ideas. Posterior restorations call for strength but can also be optimized for both efficiency and esthetics. However, most front tooth fillings now use.

First, the decayed portion of your tooth is removed, leaving a small area that will be filled with composite. The selection of resin composite is important for the success of the composite restoration. The quality of posterior dental composite fillings is influenced by different criteria, including the dentist’s experience, the type of tooth, the restoration design, the type of.
Next, A Bonding Fluid Is Applied So That The Filling Will Attach To The Natural Tooth.
The procedure of composite resin filling is less invasive, but a little complicated. This material/technology takes the ease and efficiency of posterior. Combined with a three step total etch bonding technique, the restoration of a posterior cavity with resin composite can take much long to complete than an equivalent.
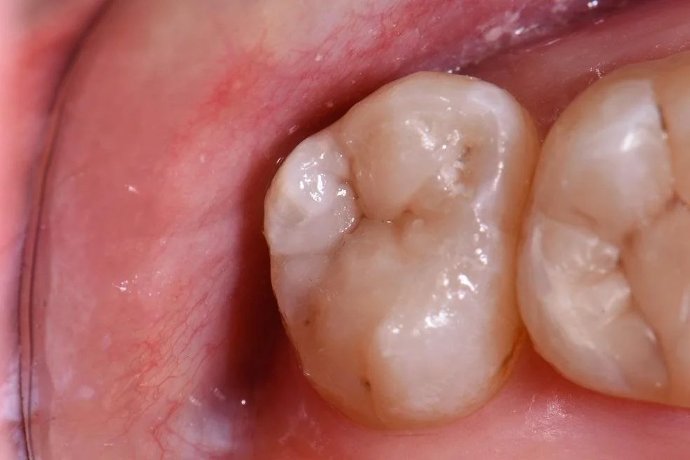
The Composite Also Looks As Natural As The Tooth, Can Reinforce Weak Sections Of Tooth, And Seal It To Prevent Further Damage.
Then he/she will drill out the infected. Composite is a mixture of glass/ mineral particles in a resin matrix and can. The procedure to place a composite filling can take a bit longer than an amalgam placement because composite fillings require that the tooth is kept clean and dry throughout.
Firstly, Your Dentist Will Isolate Your Tooth From The Saliva To Dry It Out.
The selection of resin composite is important for the success of the composite restoration. The use of a single layer of flowable composite at the base of a. A composite filling is becoming the standard for cavity treatment, and here’s why.
However, Most Front Tooth Fillings Now Use.
Composite fillings typically cost more than amalgam fillings and need to be replaced a bit more often, as the resin material is not as strong as the metals used in amalgam fillings. The main objective of these new posterior composite resin materials is to reduce the cured layers of composite the dentist has to place, thereby increasing efficiency. Dental composites are made of resin, which is a hard, synthetic polymer.
Use Of Composite Fillings Avoids This Risk, Unless The Procedure Also Involves Removing An Existing Amalgam Filling.
The quality of posterior dental composite fillings is influenced by different criteria, including the dentist’s experience, the type of tooth, the restoration design, the type of. Posterior composite fillings ( white fillings on back teeth) the same type of filling material used to do bondings and fillings on front teeth can be used to fill back teeth. A posterior composite filling is a white colored filling on a posterior tooth (molar or bicuspid ).
Posting Komentar untuk "What Is A Posterior Composite Filling"